- 脳白質線維群の2D and 3D Images -
京都府立医科大学放射線医学教室
紀ノ定 保臣
ykns@koto5.kpu-m.ac.jp
1.はじめに
MRI装置の技術進歩は著しい。数年前まで高画質の取得が困難であると思われていた拡散強調撮像法は、EPIを可能とする装置によってモーションアーチファクトを最小限に抑えた画像の取得が可能となっている。また、撮像法として従来よりSEパルス系列にSTG(Stejskal-Tanner gradient)パルスを組み込んだ手法が一般的であったが、EPI装置の出現とともにSE-EPIパルス系列にSTGパルスを組み込んだ手法に移行しつつある。
通常のMRI画像は組織のプロトン密度や縦緩和時間T1、横緩和時間T2を反映するものであるが、拡散強調画像はさらに組織内プロトンの拡散の程度を強調する形で取得される画像である。物理学的な拡散(diffusion)現象は別名ブラウン運動と称される如く、拡散方向はランダムであり、拡散定数は等方性(isotropic)であることが一般的である。しかし、生体内組織を撮像対象とし、かつ臨床用MRI装置のハードウェア性能の制約の中では、得られる拡散強調画像は物理学的な分野でのそれと性質を異にするものになる。即ち、臨床用MRI装置を用い、生体内組織での拡散現象を画像化する場合には、生体内組織灌流と拡散現象を分離して観察することは困難であり、また組織の構造に制約を受ける拡散現象を観察することになる。
本稿では、Diffusion anisotropy(拡散異方性)を利用した脳白質線維群の画像化とその代替的な手法を紹介する。
2.拡散異方性と拡散強調画像
脳白質線維群を画像化するためには、脳白質線維群がMR画像上どのように描出されるかを知る必要がある。一般的な臨床用MRI装置を利用する場合、脳白質神経線維はT1強調画像で高信号、T2強調画像で低信号となる。脳白質神経線維がT1強調画像で高信号化する根拠はミエリンの存在である。また、ミエリンは二層構造の脂質や巨大蛋白などから成る。さらに、これらミエリンは神経軸索に沿って配列する形態を取る。このような脳白質神経路での拡散は神経軸索に平行な方向では拡散定数が高く、直交する方向には拡散定数が低いという拡散の異方性(diffusion anisotroy)がある(図1参照)。
図2にスピンエコー法の180度RFパルスの前後に拡散検出用のSTGパルスを加えたStejskal-Tannerパルス系列を示す。また、Stejskal-Tannerパルス系列と脳神経白質群の拡散異方性を利用した脳白質神経路の描出を検討する。Stejskal-Tannerパルス系列で撮像された画像の信号強度
は次式である。

図1脳白質神経路での拡散異方性図2
Stejskal-Tannerパルス系列
図3拡散異方性を利用した脳白質神経路の描出
3.拡散定数のテンソル的な解釈
前節では組織の拡散定数を
として、スカラー定数的な扱いで拡散強調画像の信号強度
を議論した。しかし、実際には脳白質神経線維路の走行方向に平行にSTGパルスを印加した場合と直交する方向にSTGパルスを印加した場合との拡散定数は異なった。これは、組織の拡散定数はスカラーではなく、テンソルであることを意味する。すなわち、脳白質神経線維路とSTGパルスの印加方向とからなる角度に依存して信号強度が変化することを意味する。このような場合、拡散テンソル
は以下のように定義される。

となる。このとき、
はそれぞれがスカラー量であり、i方向にSTGパルスを印加した時のj方向の拡散定数を意味する。また、一般的には
=
であると考えられており、拡散テンソル
は6個の変数から構成されることとなる。即ち、拡散テンソルは各ピクセル毎に任意の方向に走行する白質神経路(実際には神経軸索内の流れ方向を反映)のx,y,z方向への投影成分を表現しており、正確な白質神経路の走行方向を知るためには各ピクセル毎に6回の拡散定数の計測が必要となる。一方、このようにして求まった拡散テンソル
は白質神経路の走行を直接的に表現するパラメータではない。したがって、白質神経路の構造や走行を三次元的に描出しようとする場合には、この拡散テンソル
から白質神経路が走行している方向を算出するための追加処理が必要となる。
図4
拡散テンソルDの対角化とその意味(2次元場合)
図5 拡散テンソルDの対角化とその意味(3次元場合)
拡散テンソル
から白質神経路が走行している方向を算出するための一般的な方法として拡散テンソルの対角化が用いられる。対角化されたテンソルの対角項に並んだ値が固有値と呼ばれ、白質神経路が主に走行する方向を示す指標となる(図4、図5参照)。新潟大学の中田等は、神経白質路の描出にこのような拡散テンソルの考え方を導入し、MR
axonographyとして研究を展開している。しかし、拡散テンソルの導入は理論的には魅力的であるものの、三次元的な白質神経路の描出を試みようとする場合には拡散テンソルの6個の未知数を全て求める必要があり、これを算出するまでの撮像時間が長いという困難さもある。
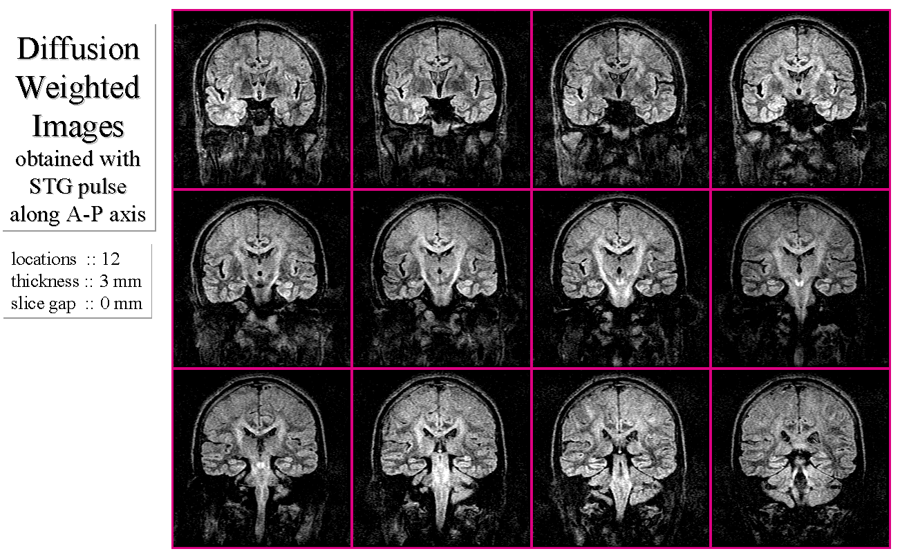
筆者等はMR axonography 以前にMR tractographyとして同様の研究を実施したが(MR Tractography ‐拡散強調画像および最大値投影法を用いた神経路描出‐、 日本医学放射線学会雑誌 ・ Vol.53 ・ No.2 ・ 171 〜 179 ・ 1993年)、これはある一定方向に走行する白質神経路のみを多断面の拡散強調画像群から最大値投影法を用いて描出しようとしたものであり、方法論的に簡便であり、神経路描出も短時間で可能であると言う利点がある。MR tractographyの例を図6、図7に示す。また、松沢、中田等は3DACと称する三軸の拡散強調画像の重ね合わせ画像を用いてMR axonographyを実施しているが(Diffusion Weighted Echo Planar Imagingを用いたMagnetic Resonance Axonography、日本臨床、Vol.55、No.7、1997年)、これは拡散テンソルを導入することによる撮像時間の延長と後処理演算の労力を軽減するための手法であり、実質的には筆者等のMR tractographyと同等である。

図6
一連の拡散強調画像群
図7 拡散強調画像群に対して最大値投影法を応用して描出した神経白質路の三次元画像
4.magnetization transfer ratioを用いた脳白質線維群の画像化手法
MR tractographyやMR axonographyは脳白質神経路の三次元的な構造を描出しようとした研究である。研究当初は脳白質神経路の三次元的な形態を描出することに主眼が置かれたが、最近では神経路の生理学的な状態を探索しようとする方向性がある。一方、簡便に脳白質神経路の三次元な構造を描出することは臨床的にも有用性が高く、拡散テンソルを用いた手法とは異なる方法での試みもある。
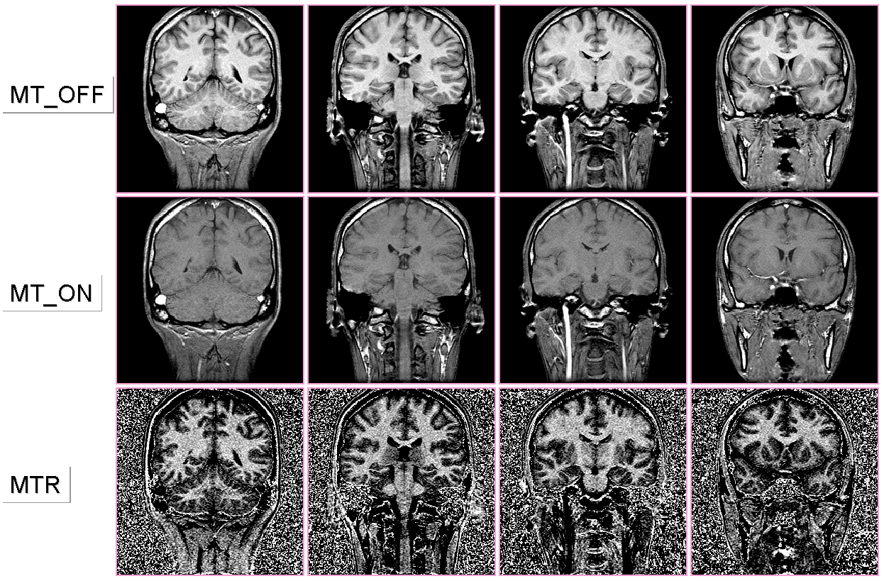
筆者等は、脳白質が他組織に比してmagnetization transfer ratio (MTR)が高いこと、MTRはミエリンの密度に依存した値を呈すること等を考慮し、白質神経路の三次元的な描出にMTRを用いる手法を考案した(Tatsuhiko Ito, Yasutomi Kinosada, Masao Kaneko : Three-dimensional cerebral tractography - An application of magnetization transfer ratio ・ Jpn. J. Tomogr. ・ Vol.24 ・ No.1,2 ・ 11 〜 17 ・ 1998)。
図8 上段:通常のT1強調画像、中段:MTパルス付加後のT1強調画像
下段:両者から算出したMTR画像
図8にMTR画像の例を示す。MTR画像は通常のT1強調画像に比して白質構造の描出能に優れ、また神経路描出も可能である。このような多段面のMTR画像群に対し、最大値投影法を適用することにより脳白質構造(特にミエリン密度の高い神経路)の描出が三次元的に可能になる(図9参照)。
図9
MTRと最大値投影法を応用した三次元白質構造の描出例
5.おわりに
MR装置が提供する多彩な撮像手法は多くのアイデアを持ち込むもとにより非常に興味ある画像を提供してくれる。脳白質構造や白質神経路の描出は技術的に興味ある分野であるのみならず、基礎生理学的にも、あるいは臨床的にも非常に重要であり、同時にニーズの高い分野である。本稿で提示した内容は筆者等の研究の一端を提示したに過ぎないが、このような研究分野に興味を持っていただければ幸いである。
第30回MRI画像研究会、平成10年9月4日(札幌にて)